
Aquí podemos ver cómo la perdida progresiva de dientes va dejando una forma diferente de la cara. Basta con perder un par de dientes para que la cara cambie. Corregir esto no es complicado ya que el precio implantes dentales ha disminuido desde que se inventaron a la fecha.

Cuando se pierde un diente, los que quedan tienen muchas posibilidades de seguirse perdiendo. Esto es la causa de que se pierdan la mayoría de los dientes. Los implantes dentales tienen precio que es superado por el gran beneficio estético y funcional y de largo plazo que ofrecen.

Los implantes dentales son parecidos en función a las raíces de los dientes. son cilindros de titanio que el organismo siempre acepta.

El diente se atornilla sobre el implante. Tiene la fuerza para masticar cualquier alimento. El paciente no lo puede quitar

Diente colocado sobre implante en posición de el central superior derecho








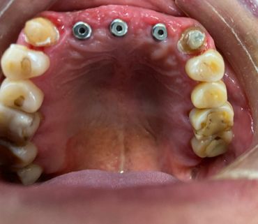
Se retira el diente y utilizando una guía quirúrgica se colocaran 6 implantes. La guía quirúrgica facilita la colocación sin tener que cortar la encía, por lo tanto no hay sangrado y la inflamación y dolor son imperceptibles

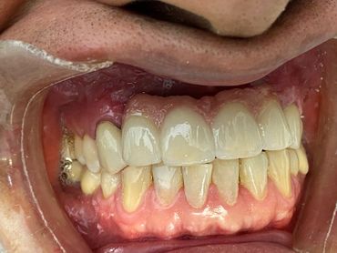
Se colocan implantes después de extraer el diente y se colocan dientes sobre los implantes en la misma cita. El paciente no se los puede quitar y no tienen paladar de plástico. en los dientes inferiores se colocaron fundas de porcelana.

El paciente recibió un golpe y se fracturó el diente. La raíz se quedó adentro

Se extrae la raiz y se coloca un implante dental. Sobre el implante se coloca un diente provisional.

El sistema fue ideado en 1988 por El Dr. Paulo Malo al tratar al primer paciente utilizando el concepto de tratamiento All-on-4®. La compañía Nobel Bilocare comercializa el sistema

Es un sistema diseñado para pacientes con poco hueso. Se utilizan cuatro implantes sin necesidad de hacer injertos de hueso

Además de no necesitar injerto de hueso, se pueden colocar dientes en una protesis el mismo día que se colocan los implantes.

.

.

.
Video donde se detalla la técnica de All on4 de la compañía Nobel Biocare. Aquí se observa que se extraen los dientes restantes y se colocaron 4 implantes. Inmediatamente a la colocación de los implantes se ajusta una prótesis sostenida por estos implantes. El paciente no la puede quitar. No tiene paladar y la estética y la función es extraordinaria